Deep cleaning (also called scaling and root planing) is a thorough dental cleaning performed when plaque and tartar have built up below the gum line, causing early gum disease. It’s more intensive than your routine cleaning.
The dentist or hygienist will clean both above and below the gums to remove hardened deposits that regular brushing can’t reach. This general dental procedure is usually recommended for patients showing signs of gum infection (like bleeding or swollen gums) to halt disease and protect the teeth. Below is what to expect from start to finish:
- Appointment Length: A deep cleaning visit is longer than a regular cleaning. Plan for about 1–2 hours per visit. Often only one half of the mouth is cleaned at a time, so you may need two appointments for full-mouth treatment.
- Frequency: This is not a routine treatment like a twice-yearly cleaning. It’s done only when your gums require it (for example, if periodontal pockets are measured deeper than normal). Your dentist will let you know when and if you need another deep cleaning in the future.
- Pain Control: Before starting, the dentist will numb the areas to be treated with a local anesthetic. You should feel little to no pain during the cleaning, only some pressure. Afterward, minor soreness or sensitivity is normal for a day or two.
- Benefits: Deep cleaning can reverse early gum disease and freshen your breath. By removing bacteria-filled tartar from around the roots, it helps stop infection from advancing.
What Is Deep Cleaning of Teeth?
A deep cleaning (scaling and root planing) clears away plaque and tartar from above and below the gumline to treat gum disease. Over time, this protects your jawbone and prevents loose or lost teeth caused by gum disease.
Scaling vs. Root Planing
Scaling uses hand tools or ultrasonic scalers to remove plaque and tartar from the tooth surfaces, especially below the gum line. Root planing happens after scaling. The roots of your teeth are smoothed or “planed” to remove rough spots where bacteria collect, allowing the gums to heal and reattach more firmly to the tooth.
Deep Cleaning Vs. Regular Teeth Cleaning
- Cleaning Area: Deep cleaning targets both above and below the gum line to remove tartar from periodontal pockets. A regular cleaning (prophylaxis) removes plaque and superficial tartar only from above the gums.
- Purpose: Regular cleanings prevent cavities and gingivitis. Deep cleaning is therapeutic – it treats existing gum disease (periodontitis) by removing infection-causing buildup.
- Anesthesia: Dentists usually give local anesthetic for a deep cleaning, so you shouldn’t feel pain. Routine cleanings rarely need any numbing.
- Time and Visits: A normal cleaning takes about 30–60 minutes. A deep cleaning takes longer, often 1–2 hours per visit and may be split into two appointments (for example, one side of the mouth per visit).
Outcome: After a regular cleaning, teeth may feel smooth and bright. After a deep cleaning, you should have clean, smooth roots and healthier gums, with the infection kept under control.
Is Deep Cleaning Teeth Necessary?
When might you need a deep cleaning? Gum disease begins with plaque, a sticky film of bacteria that hardens into tartar if not removed daily. This tartar builds up in the space where the gum meets the tooth and causes inflammation. The gums start to pull away and form pockets that trap even more bacteria.
If your dentist measures deep gum pockets or sees signs like red, bleeding gums, a deep cleaning is often necessary. If you skip needed treatment, gum disease can get much worse. During the early stage of gum disease (gingivitis) deep cleaning is necessary to stop inflammation and prevent irreversible disease. Left untreated, serious gum disease (periodontitis) develops, which is a leading cause of tooth loss.

Benefits Of Deep Cleaning Teeth
- Stops Gum Disease: Removing the infection-causing tartar and bacteria halts the progression of periodontal disease, preventing further breakdown of bone and gums around your teeth.
- Fresher Breath: Chronic bad breath (halitosis) from gum infection is eliminated by cleaning out the bacteria.
- Healthier Gums and Roots: With bacteria gone, your gums heal. The gums should become firm and pink instead of swollen and red. In the long term, healthy gums keep the tooth roots strong as well.
- Prevents Tooth Loss: By protecting bone and gum attachment, deep cleaning helps keep natural teeth intact, so you are much less likely to lose teeth.
- Better Overall Health: Good gum health is linked to lower risks in conditions like heart disease. Reducing harmful mouth bacteria improves whole-body health by preventing bacteria from entering the bloodstream.
What to Expect During a Deep Cleaning Teeth Procedure
When you arrive for your appointment, expect a thorough process. Here are the typical steps:
Step 1) Examination and Numbing
The dentist or hygienist will first examine your gums and may take X-rays or use a probe to measure pocket depths. Once it’s time to begin the treatment, they will numb those areas with a local anesthetic (injections) so you feel minimal pain. Expect to feel a quick pinch when they inject, followed by a tingling as your gums go numb.
Step 2) Scaling (Removal of Tartar)
Using special dental instruments (or sometimes an ultrasonic scaler), your provider scrapes away all the plaque and tartar above and below the gum line in the treated area. These tools can reach deep into the pockets around the teeth. You might hear scraping or feel vibrations against your teeth, but the numbing will keep this from hurting.
Step 3) Root Planing (Smoothing)
After scaling, the next step is to smooth (plane) the root surfaces. Planing removes any remaining infected material and smooths rough spots, helping the gums reattach properly to the tooth. The dentist may use fine hand instruments to do this.
Step 4) Antibiotic Therapy (if needed)
In some cases, a dentist might apply a medicated gel or insert antibiotic beads into the cleaned pockets. This helps kill lingering bacteria and promote healing. You may also get a prescription for an antimicrobial mouthwash or pills to use after the appointment.
Step 5) Follow-up Visits (if necessary)
If many teeth are affected, the dentist may clean one section of your mouth (e.g. the left side) today and the other side at a second appointment. For a full-mouth deep cleaning, only one-half of the mouth is done per appointment. This limits discomfort and makes it easier to manage numbing.
Step 6) Final Rinse and Instructions
At the end, the dentist will rinse out your mouth and may polish the teeth lightly. They will give you detailed after-care instructions (such as gentle cleaning and salt-water rinses) and schedule follow-up visits to check healing and pocket depths.
How Long Does a Dental Cleaning Take?
Routine cleanings usually take less than an hour. But a deep cleaning takes longer. If your entire mouth needs cleaning, it might be split into two 1–2-hour appointments (often one per side). But if only a couple of teeth or one quadrant needs work, that part alone could take 30–45 minutes. In short, plan for roughly 90–120 minutes if you are having half your mouth cleaned.
Does Deep Cleaning Teeth Hurt?
During the procedure itself, you should feel no pain because of the anesthetic. You will likely feel pressure and vibrations from the tools, but not pain. After the anesthetic wears off, your gums may be a bit tender.
It’s normal to have some discomfort for a day or two after a deep cleaning, plus sensitivity for up to a week. Over-the-counter pain relievers (like ibuprofen) usually handle any soreness. Following aftercare instructions (soft brushing, salt rinses) will help speed recovery.
Side Effects of Deep Cleaning
There are a few common side effects as the gums heal:
- Bleeding and Soreness: It’s normal to have a little bleeding or gum soreness right after the treatment. Your gums have been scrubbed and scaled, so they may bleed lightly for a day or two.
- Gum Recession (Gaps): If your gums were swollen from infection, they will shrink back to normal tightness once the bacteria are gone. As a result, you may notice that your gums pull back a bit and teeth look slightly longer. While it may look odd at first, this is normal healing. Your gums are becoming healthy and no longer inflamed.
- Tooth Sensitivity: Removing a layer of plaque and smoothing the roots can make teeth temporarily sensitive to hot, cold, or touch. This usually fades in a couple of weeks to a month. Using toothpaste for sensitive teeth and avoiding very hot or cold foods for a short time can help.
- Loose Teeth (Temporary): Your teeth may feel a little “wobbly” immediately after the cleaning. This is because inflamed gums were holding them. As the gums heal and tighten up, that feeling will go away. It’s not true looseness; it’s just a sign the infection is gone, and the gums are reattaching.
- Infection: Rarely, bacteria can enter the bloodstream or deeper tissues after deep cleaning. To prevent this, dentists may give a short course of antibiotics or a special antimicrobial rinse. If you have a compromised immune system, your dentist will take extra care. Generally, following the aftercare (gentle cleaning and possibly prescribed rinses) keeps any infection risk very low.
Overall, these side effects are normal signs that your mouth is healing. If you follow your dentist’s post-treatment instructions (like gentle brushing, salt-water rinses, avoiding hard foods, etc.), you’ll usually feel back to normal within a week.
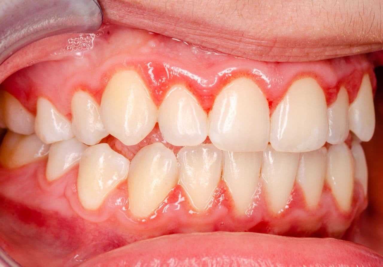
Deep Cleaning Teeth Before and After
Visually, the differences can be striking. Before a deep cleaning, teeth often show visible signs of neglect under the gums. You might see brownish or yellowish tartar (hardened plaque) accumulating at the gum line, and your gums may look red, swollen, or even puffy from inflammation. There may be bleeding when you probe or floss. Your teeth might appear dull or stained where plaque has built up.

After the procedure, those deposits are gone. Your teeth will be smooth and clean. Stains caused by the tartar are removed, so teeth can look noticeably brighter. The gums, relieved of infection, will start to look healthier. The final look is cleaner teeth and firmer, pink gums instead of the inflamed red tissue that was there before. With time and good home care, your smile should look much healthier than it did pre-treatment.
How Much Does a Deep Teeth Cleaning Cost?
The cost of deep cleaning varies widely depending on where you live, how many teeth are involved, and your insurance. Here are some general points:
- Without Insurance: Many dental offices charge by quadrant. You might see fees roughly between a hundred and a few hundred dollars if you’re paying out of pocket.
- With Insurance: Most dental plans cover periodontal scaling and root planing at a high percentage (often around 70–80%) after any deductible. In practice, patients often pay about 20–30% of the cost out-of-pocket, depending on their coverage. For example, if a plan covers 80%, you’d pay the remaining 20%. Check your specific benefits, as coverage can differ.
- Codes and Billing: Dentists use ADA procedure codes (D4341 for four or more teeth in a quadrant, D4342 for fewer than 4). Offices may also bill separately for anesthesia (local numbing is usually included, but if you opt for something like nitrous oxide or IV sedation, that’s an extra fee).
- How much does a deep cleaning cost with anesthesia? For example, nitrous oxide sedation typically adds an additional cost
- Additional Services: If your dentist uses special antimicrobial agents or a laser during the cleaning, those may incur extra costs. Always ask for an estimate ahead of time.
- Payment Plans: If cost is a concern, many dental offices (including Affordable Dentures & Implants) offer financing, or payment plans to spread out the expense.
A single deep cleaning appointment (one half of the mouth) might cost a few hundred dollars without insurance. Adding local anesthetics is usually covered in that fee, but advanced sedation or multiple visits will increase the total. We recommend contacting your nearest Affordable Dentures & Implants to get a personalized quote based on your situation and insurance benefits.
Ready to Schedule Your Deep Cleaning Teeth Treatment?
A deep cleaning may sound daunting, but it’s an important treatment to rescue your smile if gum disease is present. By removing plaque and tartar from below the gums, you stop the infection that can lead to tooth and bone loss. In fact, properly treated, you’ll often notice fresher breath and firmer gums within days. Remember, the goal is to preserve your natural teeth and overall health.
At Affordable Dentures & Implants, our experienced dentists know how to perform gentle, effective deep cleanings with your comfort in mind. We use modern tools and numbing techniques so you can relax through the process. If you’ve been told you need a deep cleaning, or if you notice red/swollen gums or bad breath, contact our office today to schedule an exam. We’ll work with you to plan a cleaning that improves your oral health and keeps your smile strong for years to come.
External Sources:
https://www.nidcr.nih.gov/health-info/gum-disease
https://www.ncbi.nlm.nih.gov/books/NBK279593/
https://www.ncbi.nlm.nih.gov/books/NBK580480/
https://jdh.adha.org/content/jdenthyg/81/suppl_1/117.full.pdf
https://www.webmd.com/oral-health/what-is-the-cost-deep-teeth-cleaning
![[object Object]](/_next/image?url=https%3A%2F%2Fcdn.sanity.io%2Fimages%2Fw75voqed%2Fproduction%2F736ab4c08fcf285018d02c5c01708c528f463adb-6016x4016.jpg&w=3840&q=75)
